MRI 찍어서 결과를 보니까 디스크가 터졌다고 얘기를 하시더라고요. 허리디스크 수술을 바로 했죠. 수술을 했는데도 엉치뼈가 그렇게 계속 아파요. 다리 장딴지 그 뒤쪽이 당기다 보니까 아주 힘들었어요. 통증이 문제죠. 걸으려면 이 장딴지 뒤에서 당겨주니까 걷기가 아주 힘들지요.
다리 힘이 빠져가지고 도저히 워커 아니면 힘을 쓸 수가 없었어요. 그래서 워커의 힘으로 돌아다녔어요.
수술을 했는데 왜 이렇게 아프냐? 그랬더니 병원에서 수술한 그 부위는 정확하게 잘 긁어지고 MRI 찍은 거를 보여주더라고요. 이 수술한 부위는 아무렇지도 않대요. MRI를 보여주는데 수술한 의사도 모른다는 얘기야.
내가 무릎 인공관절수술을 7월 6일 날 했어요. 그래서 수술 후 재활병원에서 한 5주 정도는 입원을 했었죠. 근데 차츰 꼬리뼈가 아프기 시작한 거예요. ‘이상하다. 이게 아플 리가 없는데 왜 꼬리뼈가 이렇게 아픈가’ 그래서 원장님한테 말씀을 드렸죠. 허리에다 주사를 맞았는데도 계속 아픈 거예요. 세 번까지 맞았는데도 안 되는 거예요.
3년 전에 MRI를 찍어 보니까 협착증하고 디스크가 터져 가지고 OO병원에서 나사 박는 거 유합술 했어요. 그 수술 후 이틑날 서서 보려니까 도대체가 이게 뒤에 신경이 당겨 가지고 못 서는 거예요. 그래서 원장님한테 말씀을 드렸어요. MRI를 다시 찍어 보니까 피딱지가 수술 부위에 뭉쳐서 다시 수술을 해야 되겠다 그래 가지고 바로 그날 두 번 협착증 수술을 했어요.
딸들이 이제 유튜브를 보고 이 모커리한방병원을 찾았어요. 많은 환자들 경험담 치료후기 이런 것들을 보고 이게 수술 않고도 원장님이 비수술 치료를 잘하신다 그래서 이 모커리한방병원으로 오게 됐어요. 사실 못 믿었죠. 수술해 가지고도 안 되는데 어떻게 한방으로 나을 수 있겠냐. 나는 진짜 못 믿었어요.
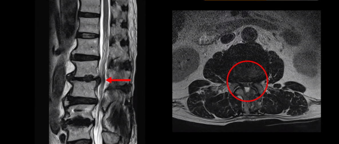
이분 허리 MRI를 보면서 간단히 설명드린 후 유합술 이후 인접마디에 문제가 생긴 환자분들이 왜 추가적인 수술을 서두르기보다는 허리기능을 살려주는 근육신경재활치료를 받는 게 좋은지, 또 치료는 어떻게 하는 게 좋은지 자세히 설명드리겠습니다. 이분 MRI를 보면 4번 5번에 나사가 박혀있습니다.

이렇게 나사가 박혀있으면 그 위나 아래에 문제가 많이 생기고 그걸 인접분절질환이라고 부릅니다. 이분도 유합술을 받은 그 윗마디인 2번 3번에서 디스크가 터져 밀려나와서 수술을 받았는데

이게 수술 후 사진인데도 여전히 척추관은 좁습니다.

나사 박은 마디 위쪽에 수술을 받았지만 수술 후에도 전혀 통증이 좋아지지 않고 다리에 힘도 빠져서 워커를 잡고 겨우 걷는 상태였습니다. 이렇게 유합술 이후 그 위나 아래에 문제가 생기는 인접분절질환은 모든 척추질환 중 가장 치료가 어려운 질환 중 하나로 꼽힙니다.
어렵다는 건 수술해도 처음 수술보다 결과가 좋을 가능성이 낮고, 수술 성공율도 떨어지는 겁니다. 그래서 이런 인접분절질환 환자분들은 일단 유합술 후에 수술한 부분의 위나 아래에 문제가 생겼다고 하면 먼저 추가적인 수술부터 알아보기 전에 저희 모커리에 내원하셔서 근육신경 재활치료 가능성을 알아보시길 권해드립니다.
척추에 유합술을 해서 허리의 기능, 특히 근육의 기능이 많이 떨어진 환자들은 허리의 기능이 많이 떨어질수록 추가적인 수술을 해도 또다시 통증을 겪을 가능성이 높아집니다. 이런 통증을 척추수술 후 실패증후군, 또는 척추수술 후 통증증후군이라고 부릅니다. 허리의 기능이 많이 떨어질수록 수술로 신경 눌린 것을 잘 풀어줘도 여전히 아플 수가 있습니다. 이분도 역시 수술한 부분 위에서 디스크가 터졌다고 해서 수술을 받으셨는데 수술 후에도 통증은 똑같이 남아있습니다. 수술한 의사는 수술이 잘 됐다고 왜 아픈지 모르겠다고 하니까 환자만 답답한 겁니다.
그럼 이런 환자분들의 많이 약해지고 떨어진 허리의 기능을 어떻게 치료해서 통증을 없애줄까요? 허리의 기능에서 가장 많은 역할을 하는 것은 바로 근육입니다. 근육이 뭉치고 굳고 뒤틀림이 심할수록 허리의 기능이 떨어집니다. 허리기능이 떨어질수록 이런 허리의 퇴행이 심한 환자분들은 이미 신경구멍도 조금씩 좁아져 있기 때문에 신경눌림 증상도 생길 수 있습니다.
그래서 근육신경재활치료로 뭉치고 굳고 뒤틀린 근육의 문제를 해결해주고 근육의 기능을 회복시키면 신경이 훨씬 덜 눌리게 되고, 아프지 않은 상태로 바뀔 수 있는 겁니다. 근육재활치료를 통해 근육기능이 좋아지면 신경기능이 함께 좋아지는 것입니다. 그래서 저희 치료 이름이 근육신경재활치료인겁니다. 저희는 이런 놀라운 사실을 널리 알리기 위해 매주 이렇게 치료후기 영상도 찍어서 올리고, 미국 최고의 대학병원인 메이요클리닉과 공동임상연구를 통해 근육신경재활치료의 효과를 해외의학 저널에 논문으로 발표도 하고 있습니다. 2019년에 발표한 협착증 논문과 2025년 발표한 전방전위증 논문에 대한 뉴스가 있습니다.
그럼 이런 근육신경재활치료는 어떻게 할까요? 근육신경재활치료는 협착증 환자의 약해지고 뭉치고 뒤틀린 근육 문제를 해결하기 위해 한방, 양방을 통틀어 근육에 관련된 할 수 있는 거의 모든 치료를 다 합니다. 침, 약침, 봉침, 이완추나, 근육의 피로를 풀어주는 한약, 도수치료, 물리치료, 운동치료까지 여러분이 일상적으로 많이 받고 계신 치료가 대부분 다 근육을 치료하는 겁니다. 그런데 협착증이라는 건 10년, 20년, 30년 이렇게 오랜 기간 근육이 줄어들고 약해지고 문제가 생기면서 발생하는 것이기 때문에 근육치료를 간단하게 몇 번 받는다고 해서 이런 오래된 근육 문제가 바로 해결되는 것이 쉽지 않습니다. 그래서 통원치료보다는 입원치료를 권하는 겁니다.
효과적인 치료를 위해 환자의 모든 일상생활을 중단하고 입원시켜놓고 하루에도 4번 이상 허리 주변 근육을 치료하고 쉬고 치료하고 쉬고 치료하고 쉬고를 2주~4주 정도 반복합니다. 이런 집중적이고 반복적인 협착증 근육재활치료를 우리는 모커리 ABCDE 협착증 치료법이라고 부릅니다. 이런 집중된 반복치료를 통해 근육 상태가 좀 좋아지면 운동도 시작하게 됩니다. 그런데 운동도 무리한 근력 운동은 오히려 증상을 더 악화시키기 때문에 가벼운 운동이지만 근육의 기능을 살려주는 운동인 누워서 하는 운동과 실내 걷기운동 등을 주로 하셔야 됩니다. 이 운동에 대해 관심 있는 분들은 아래 영상을 보시길 바랍니다.
협착증 환자는 이 누워서 하는 운동과 실내에서 안 아플 정도만 걷는 운동, 이 두 가지 운동만 하셔도 충분합니다. 이에 대한 자세한 내용은 아래 영상을 보시길 바랍니다.
이렇게 입원해서 치료하고 쉬고 운동하고, 치료하고 쉬고 운동하고를 매일매일 2주~4주 정도 계속 반복해서 근육 상태가 좋아지면, 허리를 더 잘 지탱해 주니까 협착증 증상이 훨씬 더 좋아지게 됩니다. 그럼 이분의 근육신경재활치료 결과는 어떻게 되었을까요? 이분은 다리가 아프고 힘이 빠져서 워커가 없으면 걷지도 못하셨는데 4주 만에 잘 걸을 수 있게 되었을까요? 다리 통증이 사라지고 다리 힘이 돌아와서 워커 없이 잘 걸을 수 있게 되셨을까요?
근육신경재활치료의 장점은 허리가 재활을 통해 더 튼튼해지고 건강해지는 겁니다. 허리에 손상을 주는 수술과는 달리 근육재활치료는 허리에 어떠한 형태로든 손상이 없고 반대로 더 튼튼해지는 겁니다. 그게 정말 큰 장점이고 그래서 관리만 잘하고 가르쳐드린 가벼운 운동만 꾸준히 해주시면 치료효과가 오래도록 유지될 수 있는 겁니다. 또 근육신경재활치료는 환자가 80세 이상 고령이여도 별 문제 없이 할 수 있다는 게 큰 장점입니다. 이분의 치료 후 결과가 궁금하시다면 아래 영상을 꼭 보시길 바랍니다.
강남 모커리한방병원은 보건복지부 지정 한방 척추전문병원으로, 다년간 수많은 척추관절 환자들을 치료하여 치료 숙련도와 완성도가 높은 의료진이 환자별 상태에 맞는 척추수술 후 통증 재활치료 프로그램을 운영하고 있습니다. 한,양방 협진 아래 다양한 치료를 복합적으로 적용하여 척추 주변 근육의 기능을 빠르게 회복시키고 허리 근력을 강화하여 수술의 효과를 더욱 오래 유지할 수 있도록 하고, 수술 후 남을 수 있는 증상 개선에 도움을 줍니다.
